Elektronik sigara içen kadının ciğerlerinden şiddetli patlama sesi duyuldu...

4 yıl boyunca elektronik sigara kullanan kadın zatürre oldu ve ciğerlerinde şiddetli bir patlama sesi duyuldu.

Elektronik sigara içen kadının ciğerlerinden şiddetli patlama sesi duyuldu...
A+ Yazı Boyutunu Büyüt A- Yazı Boyutunu Küçült

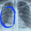
ABD’de Hannah Roth isimli kadın, 4 yıl boyunca elektronik sigara kullandıktan sonra zatürre oldu ve ciğerlerinden şiddetli bir patlama sesi duydu. Ateşi 40 dereceye çıkan Roth, hastaneye kaldırıldı. Röntgenler, 30 yaşındaki Roth'un ciğerlerinin 80 yaşındakininkine benzediğini ortaya çıkardı.

T24’ün aktardığına göre, Roth, "Doktor içeri girdi ve bana röntgenimi gösterdi. Elektronik sigara kullanıp kullanmadığımı sordu. Bu yüzden zatürre oldun dedi. Çantamdaki elektronik sigarayı alıp çöpe attı. Günün her saati içiyordum. Bir anne olarak oldukça korkutucuydu. Bakmam gereken iki çocuğum olduğu için tekrar elektronik sigara kullanamayacağımı biliyorum" dedi.

Roth'un 10 yaşındaki oğlu ise "Annemin ciğerleri kızarmış tavuk gibi patladı" diye konuştu.

Etiketler
ABD Sigara